
ダイレクトセラミクス|豪徳寺駅で歯科をお探しの方は豪徳寺よねくら歯科医院まで
ダイレクトセラミックスの
症例
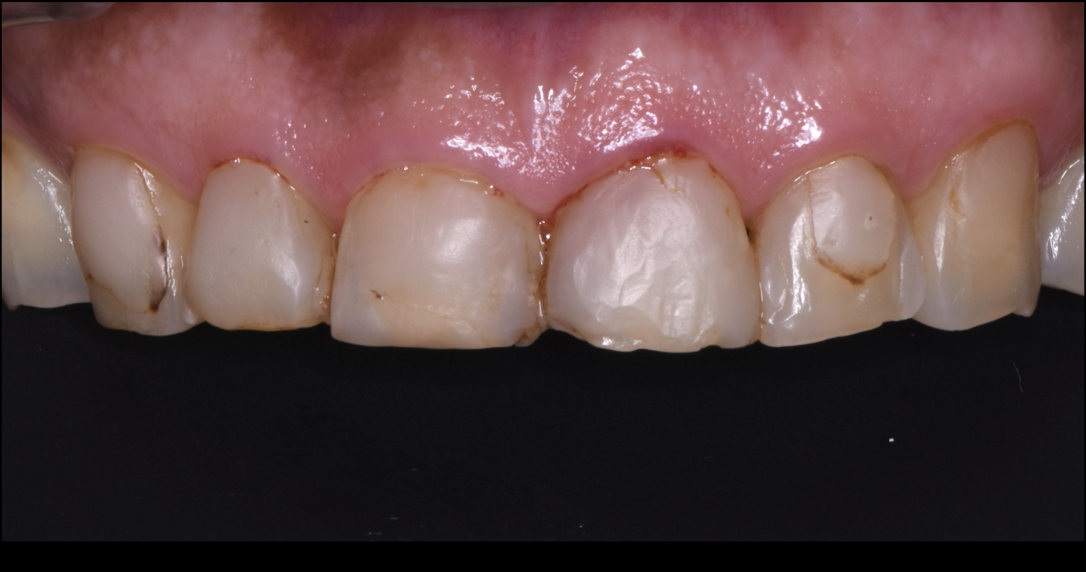
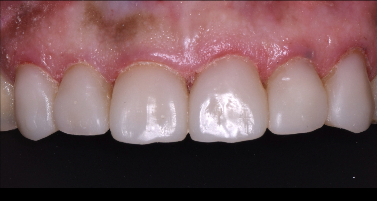
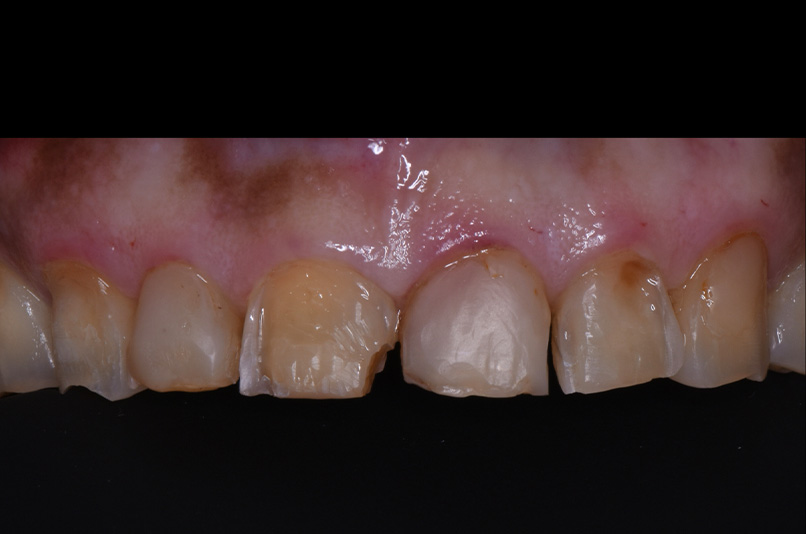
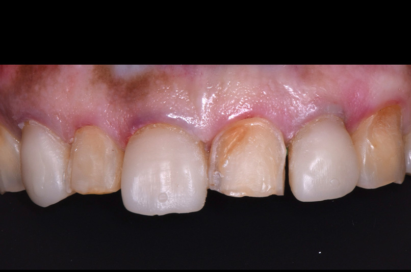
ダイレクトセラミックス
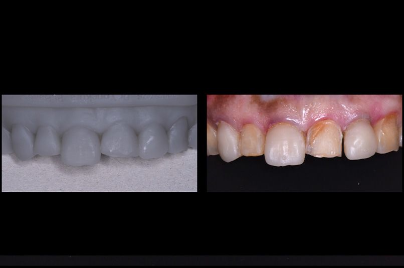
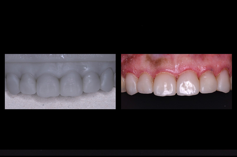
ダイレクトセラミックスの症例写真を掲載しております。
治療内容や期間、費用や、メリット・デメリットについてもご説明しております。
Before

After

Before

After

治療内容・期間・
費用について
| 治療内容 | |
|---|---|
| 治療日数・期間 | 1日(1本あたり1時間) |
| 治療費用 | 88,000円(税込)/1本 |
メリット/
デメリット・リスク
| メリット |
|
|---|---|
| デメリット・リスク |
|
駅徒歩2分
















